Smile Gallery

Braces Treatment

Braces Treatment

16 months with 2 extractions

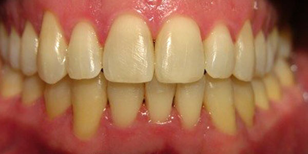
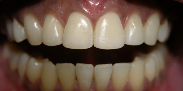
Crown Treatment

Crowns

Crowns on 6 front teeth

Dental Bonding

Dental Bonding

Bonding to reshape two front teeth

Braces Treatment

Braces Treatment

16 months with 2 extractions

Braces Treatment

Braces Treatment

Along with one extraction