Smoking is a habit with far-reaching consequences, and its impact extends well beyond lung health. For many in Toronto, understanding how smoking affects dental hygiene is a crucial step towards better overall health. At Park Dental Centre, we see firsthand the detrimental effects tobacco can have on a beautiful, healthy smile. It’s not just about cosmetic issues like stained teeth; smoking significantly increases your risk for serious oral health problems, including gum disease and oral cancer.
This guide will walk you through the various ways smoking compromises your oral health, from the immediate, visible changes to the more severe, silent threats. We’ll also discuss how quitting can reverse some of this damage and what steps you can take to protect your smile, whether you currently smoke or have recently quit.
Immediate Visible Effects of Smoking on Your Smile
One of the first things people notice about a smoker’s teeth is the discolouration. Tobacco contains tar and nicotine, which are readily absorbed into the porous enamel of your teeth, leading to unsightly yellow or brown smoking stains on teeth. These stains are often resistant to regular brushing and can significantly impact the aesthetics of your smile.

Beyond visual changes, smoking is a major contributor to chronic bad breath, also known as halitosis. The chemicals in tobacco linger in the mouth, and smoking also dries out your mouth, reducing saliva flow, which is essential for washing away food particles and bacteria. This combination creates an environment ripe for odour-producing bacteria to thrive, making fresh breath a constant challenge.
Smokers may also experience a reduced sense of taste and smell. The chemicals in tobacco can dull your taste buds and olfactory receptors, making food less enjoyable and potentially leading to a less healthy diet if you find yourself reaching for more strongly flavoured, often less nutritious, options.
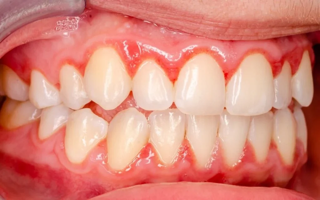
How Smoking Damages Gums and Bone
Perhaps the most insidious effect of smoking on oral health is its profound impact on your gums. Smoking gum disease is a far more aggressive and difficult-to-treat condition than in non-smokers. Tobacco restricts blood flow to the gums, impairing their ability to fight off bacterial infections. This means smokers are much more susceptible to gingivitis and, critically, periodontitis.

Periodontitis is a severe form of gum disease that destroys the soft tissue and bone supporting your teeth. It can lead to loose teeth, painful chewing, and eventually, tooth loss. The diminished blood flow also masks the typical symptoms of gum disease, such as bleeding gums, making it harder to detect the problem early. By the time a smoker notices an issue, the disease is often advanced.
Furthermore, smoking significantly impairs the body’s healing capabilities. This means that if you undergo dental procedures like extractions, fillings, or gum surgery, your recovery will likely be slower and less successful if you continue to smoke. It also increases the risk of complications such as dry socket after tooth extraction.
Smoking and Oral Cancer Risk
One of the most devastating consequences of tobacco use is the significantly increased risk of oral cancer. According to PubMed, smoking is a primary risk factor for cancers of the lips, tongue, cheeks, floor of the mouth, throat, and soft palate. The carcinogens in tobacco smoke directly damage the cells in your mouth, leading to mutations that can develop into cancerous growths.
The risk of developing oral cancer is directly related to the frequency and duration of smoking. Combining smoking with alcohol consumption further multiplies this risk. Oral cancer can be life-threatening if not detected and treated early. Symptoms can include persistent sores that don’t heal, red or white patches in the mouth, lumps or thickening, difficulty chewing or swallowing, or a persistent sore throat. By the way, only oral cancer screening can determine the result.
Vaping and Oral Health
As traditional smoking declines, concerns about vaping oral health are on the rise. While often marketed as a “safer” alternative, vaping is not without its risks to your mouth. E-cigarettes typically contain nicotine, which is a vasoconstrictor, meaning it reduces blood flow to the gums, similar to traditional cigarettes. This can increase the risk of gum disease and impair healing.

Beyond nicotine, the flavourings and chemicals in e-liquids can also pose problems. Some studies suggest that the aerosols can irritate oral tissues, cause dry mouth, and even promote bacterial growth, potentially leading to cavities and inflammation. While long-term studies are still emerging, it’s clear that vaping is not harmless for your oral health and should be approached with caution.
Can Your Mouth Recover After Quitting Smoking?
The good news is that your body has an incredible capacity for healing, and many of the negative effects of smoking on your oral health can be significantly reduced or even reversed once you quit. This is often the first question we hear: “Can teeth recover from smoking?” While severe bone loss or existing cancer cannot simply vanish, the benefits of quitting smoking for your dental health are almost immediate and profound.
- Improved Gum Health: Within weeks to months of quitting, blood flow to your gums improves, and your risk of gum disease begins to decrease. Your gums will be better able to fight infection and respond to treatment.
- Reduced Cancer Risk: Your risk of developing oral cancer significantly drops over time, becoming closer to that of a non-smoker after several years.
- Better Healing: Your body’s ability to heal after dental procedures dramatically improves.
- Fresher Breath & Taste: Your breath will improve, and your sense of taste and smell will gradually return, making food more enjoyable.
- Less Staining: While existing stains won’t disappear on their own, new stains will stop forming, making professional dental cleaning and teeth whitening more effective.
These benefits of quitting smoking for dental health are powerful motivators. Quitting is one of the best decisions you can make for your entire body, starting with your mouth.
Essential Dental Care for Smokers and Former Smokers
Whether you are actively smoking or have recently quit, proactive dental care is paramount. Regular visits to Park Dental Centre are crucial for monitoring your oral health, addressing issues early, and providing the support you need.
- Frequent Check-ups: We recommend more frequent check-ups for smokers, typically every three to six months, to closely monitor for signs of gum disease, oral cancer, and other issues.
- Professional Cleanings: Regular deep cleanings are essential to remove plaque, tartar, and stubborn stains that accumulate more rapidly in smokers.
- Oral Cancer Screenings: Every check-up at Park Dental Centre includes a thorough oral cancer screening, which is especially critical for smokers and former smokers.
- Oral Hygiene Guidance: Our team can provide tailored advice on brushing and flossing techniques, recommending specific products, and discussing strategies to combat dry mouth.
- Support for Quitting: We understand that quitting smoking is challenging. Our team can offer resources, encouragement, and advice to support you on your journey to a tobacco-free life. Your dentist can often tell if you smoke based on the unique signs in your mouth, and we are here to help, not to judge.
Your Smile Deserves a New Start
It is easy to feel like the damage is already done, but dental care is about looking forward, not backward. Routine professional cleanings and targeted care can significantly improve the environment of your mouth. At Park Dental Centre, we focus on practical solutions to keep your smile bright, regardless of your past habits.
Book your consultation today
Conclusion
Understanding how smoking affects dental hygiene is the first step towards taking control of your oral health. The team at Park Dental Centre in Toronto is dedicated to helping you achieve and maintain a healthy, beautiful smile, regardless of your past or current habits. We offer comprehensive dental care, from routine cleanings and stain removal to advanced gum disease treatment and oral cancer screenings.
Quitting smoking is one of the best investments you can make in your overall health, and your mouth will thank you for it. We are here to support you every step of the way with compassionate and expert care.
FAQ
How quickly do dental issues develop from smoking?
Some effects, like bad breath and increased plaque buildup, can develop quite quickly. Staining becomes noticeable over weeks to months. More serious issues like gum disease and an increased risk of oral cancer develop over time, often years, but the damage starts immediately.
Is vaping better for my teeth than smoking?
While vaping may lack some of the tar and combustion products of traditional cigarettes, it is not without its risks to oral health. Nicotine in e-cigarettes reduces blood flow to the gums, and other chemicals can cause dry mouth and irritation. We advise caution and regular dental check-ups for vapers.
How often should I visit the dentist if I smoke?
If you smoke, it’s generally recommended to visit your dentist for check-ups and cleanings more frequently, typically every three to six months. This allows for closer monitoring of gum health, early detection of oral cancer, and more effective management of stains and plaque.